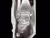
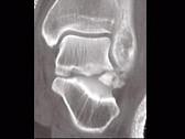
男,28岁,从高处坠落后双足疼痛1月余,结合影像学检查,最可能的诊断是?(?)A.跟骨骨折B.骰骨骨折C.距骨骨折D.舟状骨骨折E...

作者: rantiku 人气: - 评论: 0
问题 男,28岁,从高处坠落后双足疼痛1月余,结合影像学检查,最可能的诊断是?(?)
选项 A.跟骨骨折 B.骰骨骨折 C.距骨骨折 D.舟状骨骨折 E.楔骨骨折
答案 C
解析

猜你喜欢

发表评论
更多 网友评论0 条评论)
暂无评论

Copyright © 2012-2014 恰考网 Inc. 保留所有权利。 Powered by tikuer.com

页面耗时0.0412秒, 内存占用1.03 MB, Cache:redis,访问数据库20次