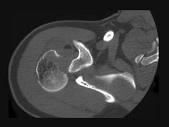
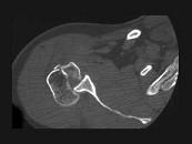
男,28岁,摔伤后肩部疼痛,活动受限,结合影像学表现,最可能的诊断是?(?)A.柯莱斯骨折B.肱骨头骨折C.肱骨外科颈骨折D.加莱阿齐...

作者: rantiku 人气: - 评论: 0
问题 男,28岁,摔伤后肩部疼痛,活动受限,结合影像学表现,最可能的诊断是?(?)
选项 A.柯莱斯骨折 B.肱骨头骨折 C.肱骨外科颈骨折 D.加莱阿齐骨折 E.蒙泰贾骨折
答案 B
解析

猜你喜欢

发表评论
更多 网友评论0 条评论)
暂无评论

Copyright © 2012-2014 恰考网 Inc. 保留所有权利。 Powered by tikuer.com

页面耗时0.0727秒, 内存占用1.02 MB, Cache:redis,访问数据库13次