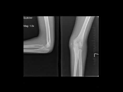
男,9岁,左肘外伤,结合图像,最可能的诊断为?(?)A.左肱骨内上髁骨骺1度分离B.左肱骨内上髁骨骺2度分离C.左肱骨内上髁骨骺3度分离D...

作者: rantiku 人气: - 评论: 0
问题 男,9岁,左肘外伤,结合图像,最可能的诊断为?(?)
选项 A.左肱骨内上髁骨骺1度分离 B.左肱骨内上髁骨骺2度分离 C.左肱骨内上髁骨骺3度分离 D.左肱骨内上髁骨骺4度分离 E.左肱骨内上髁骨骺5度分离
答案 B
解析

猜你喜欢

发表评论
更多 网友评论0 条评论)
暂无评论

Copyright © 2012-2014 恰考网 Inc. 保留所有权利。 Powered by tikuer.com

页面耗时0.0342秒, 内存占用1.03 MB, Cache:redis,访问数据库17次