男,72岁,手足小关节红肿热痛,白细胞升高,血沉快,血尿酸升高,结合图像,最可能诊断是?(?)A.类风湿关节炎B.退行性骨关节病C.痛...

作者: rantiku 人气: - 评论: 0
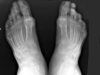
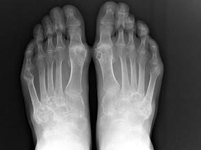
问题 男,72岁,手足小关节红肿热痛,白细胞升高,血沉快,血尿酸升高,结合图像,最可能诊断是?(?)
选项 A.类风湿关节炎 B.退行性骨关节病 C.痛风性关节炎 D.假痛风 E.滑膜炎
答案 C
解析

猜你喜欢

发表评论
更多 网友评论0 条评论)
暂无评论

Copyright © 2012-2014 恰考网 Inc. 保留所有权利。 Powered by tikuer.com

页面耗时0.0401秒, 内存占用1.03 MB, Cache:redis,访问数据库18次