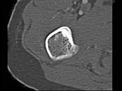
男,28岁,右上肢疼痛,夜间加重,服用止痛药可缓解,结合图像,最可能的诊断是?(?)A.骨瘤B.骨软骨瘤C.骨样骨瘤D.骨囊肿E....

作者: rantiku 人气: - 评论: 0
问题 男,28岁,右上肢疼痛,夜间加重,服用止痛药可缓解,结合图像,最可能的诊断是?(?)
选项 A.骨瘤 B.骨软骨瘤 C.骨样骨瘤 D.骨囊肿 E.成骨细胞瘤
答案 C
解析

猜你喜欢

发表评论
更多 网友评论0 条评论)
暂无评论

Copyright © 2012-2014 恰考网 Inc. 保留所有权利。 Powered by tikuer.com

页面耗时0.0305秒, 内存占用1.03 MB, Cache:redis,访问数据库16次