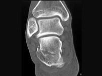
男,36岁,从高处摔下,足部受伤,结合图像,最可能的诊断是?(?)A.距骨骨折B.跟骨骨折C.骰骨骨折D.舟状骨骨折E.楔骨骨折

作者: rantiku 人气: - 评论: 0
问题 男,36岁,从高处摔下,足部受伤,结合图像,最可能的诊断是?(?)
选项 A.距骨骨折 B.跟骨骨折 C.骰骨骨折 D.舟状骨骨折 E.楔骨骨折
答案 B
解析

猜你喜欢

发表评论
更多 网友评论0 条评论)
暂无评论

Copyright © 2012-2014 恰考网 Inc. 保留所有权利。 Powered by tikuer.com

页面耗时0.0602秒, 内存占用1.03 MB, Cache:redis,访问数据库19次