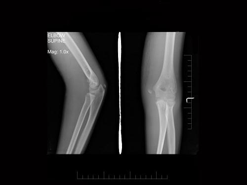
男,11岁,左肘外伤,根据所示图像,最可能的诊断是?(?)A.左肱骨内上髁骨骺Ⅰ度分离B.左肱骨内上髁骨骺Ⅱ度分离C.左肱骨内上髁骨骺Ⅲ度分离...

作者: rantiku 人气: - 评论: 0
问题 男,11岁,左肘外伤,根据所示图像,最可能的诊断是?(?)
选项 A.左肱骨内上髁骨骺Ⅰ度分离 B.左肱骨内上髁骨骺Ⅱ度分离 C.左肱骨内上髁骨骺Ⅲ度分离 D.左肱骨内上髁骨骺Ⅳ度分离 E.左肱骨内上髁骨骺Ⅴ度分离
答案 A
解析

猜你喜欢

发表评论
更多 网友评论0 条评论)
暂无评论

Copyright © 2012-2014 恰考网 Inc. 保留所有权利。 Powered by tikuer.com

页面耗时0.0444秒, 内存占用1.03 MB, Cache:redis,访问数据库19次