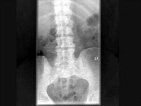
男,77岁,全身性骨痛,夜间加重,贫血,PSA大于100,结合图像,最可能的诊断是?(?)A.成骨性骨转移B.多发性骨髓瘤C.慢性...

作者: rantiku 人气: - 评论: 0
问题 男,77岁,全身性骨痛,夜间加重,贫血,PSA大于100,结合图像,最可能的诊断是?(?)
选项 A.成骨性骨转移 B.多发性骨髓瘤 C.慢性化脓性骨髓炎 D.骨肉瘤 E.以上都不是
答案 A
解析

猜你喜欢

发表评论
更多 网友评论0 条评论)
暂无评论

Copyright © 2012-2014 恰考网 Inc. 保留所有权利。 Powered by tikuer.com

页面耗时0.0452秒, 内存占用1.03 MB, Cache:redis,访问数据库20次