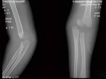
女,1岁10个月,右肘部外伤,如图所示,最佳的诊断为?(?)A.全骺分离B.肱骨髁上骨折C.肱骨髁上骨折并肘关节脱位D.内上髁骨骺损伤...

作者: rantiku 人气: - 评论: 0
问题 女,1岁10个月,右肘部外伤,如图所示,最佳的诊断为?(?)
选项 A.全骺分离 B.肱骨髁上骨折 C.肱骨髁上骨折并肘关节脱位 D.内上髁骨骺损伤 E.内上髁骨骺损伤并肘关节脱位
答案 A
解析

猜你喜欢

发表评论
更多 网友评论0 条评论)
暂无评论

Copyright © 2012-2014 恰考网 Inc. 保留所有权利。 Powered by tikuer.com

页面耗时0.0374秒, 内存占用1.03 MB, Cache:redis,访问数据库17次