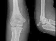
男,6岁,右肘部外伤,结合图像,最可能的诊断是?(?)A.右肱骨远端骨折B.右肱骨内上髁骨折C.右肱骨外上髁骨折D.右尺骨鹰嘴骨骺损伤...

作者: rantiku 人气: - 评论: 0
问题 男,6岁,右肘部外伤,结合图像,最可能的诊断是?(?)
选项 A.右肱骨远端骨折 B.右肱骨内上髁骨折 C.右肱骨外上髁骨折 D.右尺骨鹰嘴骨骺损伤 E.右尺桡脱位
答案 D
解析

猜你喜欢

发表评论
更多 网友评论0 条评论)
暂无评论

Copyright © 2012-2014 恰考网 Inc. 保留所有权利。 Powered by tikuer.com

页面耗时0.0414秒, 内存占用1.03 MB, Cache:redis,访问数据库20次