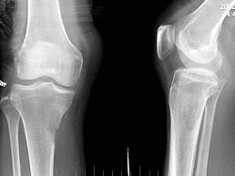
男,59岁,右小腿近端疼痛1年,活动障碍半年,结合图像,最可能的诊断是?(?)A.右胫骨结核B.右胫骨骨转移C.软骨肉瘤D.骨肉瘤...

作者: rantiku 人气: - 评论: 0
问题 男,59岁,右小腿近端疼痛1年,活动障碍半年,结合图像,最可能的诊断是?(?)
选项 A.右胫骨结核 B.右胫骨骨转移 C.软骨肉瘤 D.骨肉瘤 E.纤维肉瘤
答案 B
解析

猜你喜欢

发表评论
更多 网友评论0 条评论)
暂无评论

Copyright © 2012-2014 恰考网 Inc. 保留所有权利。 Powered by tikuer.com

页面耗时0.0391秒, 内存占用1.03 MB, Cache:redis,访问数据库19次