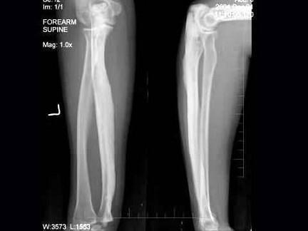
30岁,女,因左前臂酸胀不适1年,活动可,左前臂正侧位片如图所示,最可能诊断是?(?)A.左尺骨蜡泪样骨病B.石骨症C.骨皮质增厚症D.骨...

作者: rantiku 人气: - 评论: 0
问题 30岁,女,因左前臂酸胀不适1年,活动可,左前臂正侧位片如图所示,最可能诊断是?(?)
选项 A.左尺骨蜡泪样骨病 B.石骨症 C.骨皮质增厚症 D.骨膜炎 E.慢性化脓性骨髓炎
答案 A
解析

猜你喜欢

发表评论
更多 网友评论0 条评论)
暂无评论

Copyright © 2012-2014 恰考网 Inc. 保留所有权利。 Powered by tikuer.com

页面耗时0.0410秒, 内存占用1.03 MB, Cache:redis,访问数据库20次