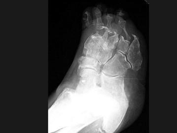
女,78岁,长期慢性手足畸形,无冷热、痛感,结合图像,最可能的诊断是?(?)A.骨麻风病B.骨梅毒C.骨结核D.痛风E.类风湿关节炎

作者: rantiku 人气: - 评论: 0
问题 女,78岁,长期慢性手足畸形,无冷热、痛感,结合图像,最可能的诊断是?(?)
选项 A.骨麻风病 B.骨梅毒 C.骨结核 D.痛风 E.类风湿关节炎
答案 A
解析

猜你喜欢

发表评论
更多 网友评论0 条评论)
暂无评论

Copyright © 2012-2014 恰考网 Inc. 保留所有权利。 Powered by tikuer.com

页面耗时0.0345秒, 内存占用1.03 MB, Cache:redis,访问数据库18次