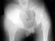
男,18岁,右髋关节肿胀,疼痛1月余,经抗感染治疗,疗效不佳,结合图像,最可能的诊断是?(?)A.右髋关节软骨肉瘤B.右髋关节滑膜肉瘤C.右髋...

作者: rantiku 人气: - 评论: 0
问题 男,18岁,右髋关节肿胀,疼痛1月余,经抗感染治疗,疗效不佳,结合图像,最可能的诊断是?(?)
选项 A.右髋关节软骨肉瘤 B.右髋关节滑膜肉瘤 C.右髋关节纤维肉瘤 D.右髋关节化脓性关节炎 E.以上均不是
答案 B
解析

猜你喜欢

发表评论
更多 网友评论0 条评论)
暂无评论

Copyright © 2012-2014 恰考网 Inc. 保留所有权利。 Powered by tikuer.com

页面耗时0.0351秒, 内存占用1.03 MB, Cache:redis,访问数据库18次