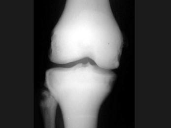
男,23岁,根据影像图像,最可能的诊断是?(?)A.骨髓炎B.骨硬化症C.骨囊肿D.骨脓肿E.骨结核

作者: rantiku 人气: - 评论: 0
问题 男,23岁,根据影像图像,最可能的诊断是?(?)
选项 A.骨髓炎 B.骨硬化症 C.骨囊肿 D.骨脓肿 E.骨结核
答案 B
解析

猜你喜欢

发表评论
更多 网友评论0 条评论)
暂无评论

Copyright © 2012-2014 恰考网 Inc. 保留所有权利。 Powered by tikuer.com

页面耗时0.0456秒, 内存占用1.03 MB, Cache:redis,访问数据库19次