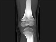
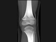
男,12岁,大腿下部间歇性疼痛,劳累后加重,结合图像,最可能的诊断是?(?)A.纤维性骨皮质缺损B.干骺端结核C.骨样骨瘤D....

作者: rantiku 人气: - 评论: 0
问题 男,12岁,大腿下部间歇性疼痛,劳累后加重,结合图像,最可能的诊断是?(?)
选项 A.纤维性骨皮质缺损 B.干骺端结核 C.骨样骨瘤 D.邻皮质软骨瘤 E.非骨化性纤维瘤
答案 A
解析

猜你喜欢

发表评论
更多 网友评论0 条评论)
暂无评论

Copyright © 2012-2014 恰考网 Inc. 保留所有权利。 Powered by tikuer.com

页面耗时0.0304秒, 内存占用1.03 MB, Cache:redis,访问数据库18次