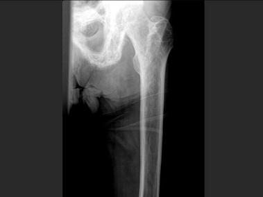
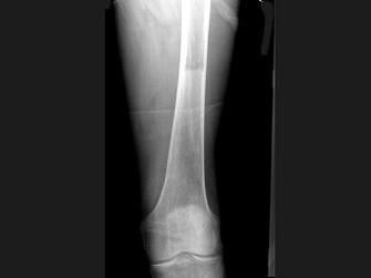
男,60岁,左股骨痛1年余,结合图像,最可能的诊断是?(?)A.骨纤维异常增殖症B.Paget病C.髋关节结核D.股骨头缺血坏死 ...

作者: rantiku 人气: - 评论: 0
问题 男,60岁,左股骨痛1年余,结合图像,最可能的诊断是?(?)
选项 A.骨纤维异常增殖症 B.Paget病 C.髋关节结核 D.股骨头缺血坏死 E.化脓性骨髓炎
答案 B
解析

猜你喜欢

发表评论
更多 网友评论0 条评论)
暂无评论

Copyright © 2012-2014 恰考网 Inc. 保留所有权利。 Powered by tikuer.com

页面耗时0.0362秒, 内存占用1.03 MB, Cache:redis,访问数据库14次