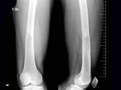
男,23岁,右股骨下段肿胀、疼痛伴发热2个月,摄片如图所示,最可能的诊断是?(?)A.急性化脓性骨髓炎B.溶骨性骨肉瘤C.尤文肉瘤D.组织...

作者: rantiku 人气: - 评论: 0
问题 男,23岁,右股骨下段肿胀、疼痛伴发热2个月,摄片如图所示,最可能的诊断是?(?)
选项 A.急性化脓性骨髓炎 B.溶骨性骨肉瘤 C.尤文肉瘤 D.组织细胞增生症 E.以上均不是
答案 C
解析

猜你喜欢

发表评论
更多 网友评论0 条评论)
暂无评论

Copyright © 2012-2014 恰考网 Inc. 保留所有权利。 Powered by tikuer.com

页面耗时0.0409秒, 内存占用1.03 MB, Cache:redis,访问数据库17次