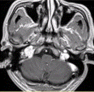
患者男,54岁,右侧耳部不适,耳镜检查示蓝色鼓膜。HRCT显示如下图。可能的诊断为A.颈静脉球瘤B.颈静脉孔区神经鞘瘤C.颈静脉孔区脑膜瘤...

作者: rantiku 人气: - 评论: 0
问题 患者男,54岁,右侧耳部不适,耳镜检查示蓝色鼓膜。HRCT显示如下图。 可能的诊断为
选项 A.颈静脉球瘤 B.颈静脉孔区神经鞘瘤 C.颈静脉孔区脑膜瘤 D.中耳乳突炎 E.中耳胆脂瘤
答案 A
解析

猜你喜欢

发表评论
更多 网友评论0 条评论)
暂无评论

Copyright © 2012-2014 恰考网 Inc. 保留所有权利。 Powered by tikuer.com

页面耗时0.0523秒, 内存占用1.03 MB, Cache:redis,访问数据库20次