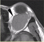
患者女,30岁,左眼球突出,运动障碍7个月。MRI平扫示左肌锥内等T信号影(下图)。增强扫描示均匀增强,眼肌、眼环正常。诊断应为A.甲状腺性突...

作者: rantiku 人气: - 评论: 0
问题 患者女,30岁,左眼球突出,运动障碍7个月。MRI平扫示左肌锥内等T信号影(下图)。增强扫描示均匀增强,眼肌、眼环正常。 诊断应为
选项 A.甲状腺性突眼 B.眼眶疏松结缔组织炎 C.炎性假瘤 D.海绵状血管瘤 E.转移瘤 F.淋巴管瘤
答案 D
解析 D

猜你喜欢

发表评论
更多 网友评论0 条评论)
暂无评论

Copyright © 2012-2014 恰考网 Inc. 保留所有权利。 Powered by tikuer.com

页面耗时0.0381秒, 内存占用1.03 MB, Cache:redis,访问数据库20次