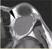
患者女,30岁,左眼球突出,运动障碍7个月。MRI平扫示左肌锥内等T信号影(下图)。增强扫描示均匀增强,眼肌、眼环正常。眼眶海绵状血管瘤MR表...

作者: rantiku 人气: - 评论: 0
问题 患者女,30岁,左眼球突出,运动障碍7个月。MRI平扫示左肌锥内等T信号影(下图)。增强扫描示均匀增强,眼肌、眼环正常。 眼眶海绵状血管瘤MR表现是
选项 A.多位于肌锥外 B.为迂曲条状 C.T2加权像为低信号 D.T2加权像为高信号 E.病变信号不均匀 F.渐进性强化
答案 DF
解析 DF

猜你喜欢

发表评论
更多 网友评论0 条评论)
暂无评论

Copyright © 2012-2014 恰考网 Inc. 保留所有权利。 Powered by tikuer.com

页面耗时0.0432秒, 内存占用1.03 MB, Cache:redis,访问数据库19次