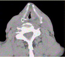
患者男,60岁,声音嘶哑半年,CT表现如下图。诊断正确的是A.声门区喉癌B.声门上喉癌C.喉正常表现D.喉结核E.喉乳头状瘤F.喉憩室

作者: rantiku 人气: - 评论: 0
问题 患者男,60岁,声音嘶哑半年,CT表现如下图。 诊断正确的是
选项 A.声门区喉癌 B.声门上喉癌 C.喉正常表现 D.喉结核 E.喉乳头状瘤 F.喉憩室
答案 A
解析 A

猜你喜欢

发表评论
更多 网友评论0 条评论)
暂无评论

Copyright © 2012-2014 恰考网 Inc. 保留所有权利。 Powered by tikuer.com

页面耗时0.0417秒, 内存占用1.03 MB, Cache:redis,访问数据库19次