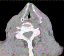
患者男,60岁,声音嘶哑半年,CT表现如下图。有关喉癌,正确的表述是A.喉癌以鳞癌多见B.声门上区淋巴结转移最常见,声门下区次之C.声门区喉癌...

作者: rantiku 人气: - 评论: 0
问题 患者男,60岁,声音嘶哑半年,CT表现如下图。 有关喉癌,正确的表述是
选项 A.喉癌以鳞癌多见 B.声门上区淋巴结转移最常见,声门下区次之 C.声门区喉癌好发于声带后1/3与中1/3的交界处 D.喉癌诊断中最重要的内容之一为评价前联合有无受累 E.CT仿真内镜可清晰显示声门区病变 F.喉癌以腺癌多见
答案 ABDE
解析 ABDE

猜你喜欢

发表评论
更多 网友评论0 条评论)
暂无评论

Copyright © 2012-2014 恰考网 Inc. 保留所有权利。 Powered by tikuer.com

页面耗时0.0339秒, 内存占用1.03 MB, Cache:redis,访问数据库19次