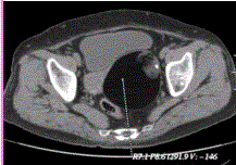
患者女,36岁,CT发现盆腔内囊实性肿块,以囊性为主,含脂肪和钙化(下图),诊断应首先考虑为A.卵巢单纯囊肿B.囊性畸胎瘤C.卵巢囊腺瘤D...

作者: rantiku 人气: - 评论: 0
问题 患者女,36岁,CT发现盆腔内囊实性肿块,以囊性为主,含脂肪和钙化(下图),诊断应首先考虑为
选项 A.卵巢单纯囊肿 B.囊性畸胎瘤 C.卵巢囊腺瘤 D.卵巢囊腺癌 E.卵巢子宫内膜异位囊肿
答案 B
解析

猜你喜欢

发表评论
更多 网友评论0 条评论)
暂无评论

Copyright © 2012-2014 恰考网 Inc. 保留所有权利。 Powered by tikuer.com

页面耗时0.0416秒, 内存占用1.03 MB, Cache:redis,访问数据库19次