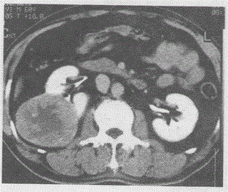
男,60岁,右侧腰部疼痛半年,CT增强如图,最可能的诊断是A.肾错构瘤B.肾癌C.肾脓肿D.肾结核E.淋巴瘤

作者: rantiku 人气: - 评论: 0
问题 男,60岁,右侧腰部疼痛半年,CT增强如图,最可能的诊断是
选项 A.肾错构瘤 B.肾癌 C.肾脓肿 D.肾结核 E.淋巴瘤
答案 B
解析

猜你喜欢

发表评论
更多 网友评论0 条评论)
暂无评论

Copyright © 2012-2014 恰考网 Inc. 保留所有权利。 Powered by tikuer.com

页面耗时0.0360秒, 内存占用1.03 MB, Cache:redis,访问数据库19次