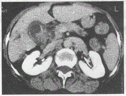
女,57岁,上腹部疼痛3个月,增强后如图最可能的诊断是A.胆囊炎B.胆囊息肉C.胆囊结石D.胆囊癌E.胰头癌

作者: rantiku 人气: - 评论: 0
问题 女,57岁,上腹部疼痛3个月,增强后如图最可能的诊断是
选项 A.胆囊炎 B.胆囊息肉 C.胆囊结石 D.胆囊癌 E.胰头癌
答案 D
解析

猜你喜欢

发表评论
更多 网友评论0 条评论)
暂无评论

Copyright © 2012-2014 恰考网 Inc. 保留所有权利。 Powered by tikuer.com

页面耗时0.0336秒, 内存占用1.03 MB, Cache:redis,访问数据库18次