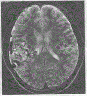
男,17岁,右颞部胀痛,MRI如图所示,最可能的诊断是A.脑炎B.血管畸形C.动脉瘤D.脑膜瘤E.脑出血

作者: rantiku 人气: - 评论: 0
问题 男,17岁,右颞部胀痛,MRI如图所示,最可能的诊断是
选项 A.脑炎 B.血管畸形 C.动脉瘤 D.脑膜瘤 E.脑出血
答案 B
解析

猜你喜欢

发表评论
更多 网友评论0 条评论)
暂无评论
错误啦!

错误信息

  • 消息: [程序异常] : MISCONF Redis is configured to save RDB snapshots, but it's currently unable to persist to disk. Commands that may modify the data set are disabled, because this instance is configured to report errors during writes if RDB snapshotting fails (stop-writes-on-bgsave-error option). Please check the Redis logs for details about the RDB error.
  • 文件: /twcms/kongphp/cache/cache_redis.class.php
  • 位置: 第 85 行
    <?php echo 'KongPHP, Road to Jane.'; ?>