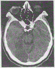
男,56岁,高血压病史4年,视力模糊3天,头颅CT平扫如图,最可能的诊断是A.星形细胞瘤B.蛛网膜囊肿C.胆脂瘤D.缺血性脑梗死E.脑炎

作者: rantiku 人气: - 评论: 0
问题 男,56岁,高血压病史4年,视力模糊3天,头颅CT平扫如图,最可能的诊断是
选项 A.星形细胞瘤 B.蛛网膜囊肿 C.胆脂瘤 D.缺血性脑梗死 E.脑炎
答案 D
解析

猜你喜欢

发表评论
更多 网友评论0 条评论)
暂无评论

Copyright © 2012-2014 恰考网 Inc. 保留所有权利。 Powered by tikuer.com

页面耗时0.0324秒, 内存占用1.03 MB, Cache:redis,访问数据库19次