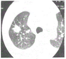
女,61,咳嗽,咯血,CT平扫如图,最可能的诊断是A.肺结核B.周围型肺癌C.中央型肺癌D.炎性假瘤E.错构瘤

作者: rantiku 人气: - 评论: 0
问题 女,61,咳嗽,咯血,CT平扫如图,最可能的诊断是
选项 A.肺结核 B.周围型肺癌 C.中央型肺癌 D.炎性假瘤 E.错构瘤
答案 B
解析

猜你喜欢

发表评论
更多 网友评论0 条评论)
暂无评论

Copyright © 2012-2014 恰考网 Inc. 保留所有权利。 Powered by tikuer.com

页面耗时0.0373秒, 内存占用1.03 MB, Cache:redis,访问数据库15次