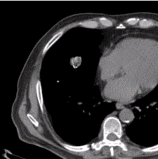
患者男,体检时发现肺内结节,行CT检查如下图。应诊为A.结核球B.周围型肺癌C.炎性假瘤D.错构瘤E.钙化灶

作者: rantiku 人气: - 评论: 0
问题 患者男,体检时发现肺内结节,行CT检查如下图。应诊为
选项 A.结核球 B.周围型肺癌 C.炎性假瘤 D.错构瘤 E.钙化灶
答案 D
解析

猜你喜欢

发表评论
更多 网友评论0 条评论)
暂无评论

Copyright © 2012-2014 恰考网 Inc. 保留所有权利。 Powered by tikuer.com

页面耗时0.0435秒, 内存占用1.03 MB, Cache:redis,访问数据库19次