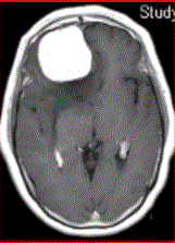
女,64岁,发作性意识丧失,左侧肢体无力,MR显示右侧额叶等T1信号影(下图),病变明显强化,最可能的诊断是A.室管膜瘤B.星形细胞瘤C....

作者: rantiku 人气: - 评论: 0
问题 女,64岁,发作性意识丧失,左侧肢体无力,MR显示右侧额叶等T1信号影(下图),病变明显强化,最可能的诊断是
选项 A.室管膜瘤 B.星形细胞瘤 C.脊索瘤 D.脑膜瘤 E.转移瘤
答案 D
解析

猜你喜欢

发表评论
更多 网友评论0 条评论)
暂无评论

Copyright © 2012-2014 恰考网 Inc. 保留所有权利。 Powered by tikuer.com

页面耗时0.0307秒, 内存占用1.03 MB, Cache:redis,访问数据库16次