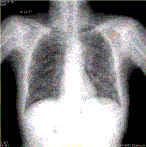
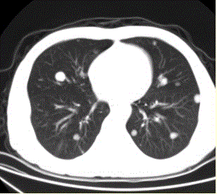
患者男,45岁,因肝硬化、肝癌行肝移植术后6个月,咳嗽2周,来院复查。CR及CT影像如下图。对于转移瘤和原发癌的关系,描述正确的有A.肺内转移...

作者: rantiku 人气: - 评论: 0
问题 患者男,45岁,因肝硬化、肝癌行肝移植术后6个月,咳嗽2周,来院复查。CR及CT影像如下图。 对于转移瘤和原发癌的关系,描述正确的有
选项 A.肺内转移最多的原发瘤为肝癌 B.原发支气管肺癌可转移到同侧和对侧 C.乳腺癌肺转移可通过血行和淋巴途径,还可经胸膜播散 D.睾丸精原细胞瘤的肺和淋巴结转移灶密度较低 E.中枢神经系统肿瘤易发生肺内转移 F.脑转移瘤中最常见的原发肿瘤为肺癌
答案 BCDE
解析 BCDE

猜你喜欢

发表评论
更多 网友评论0 条评论)
暂无评论

Copyright © 2012-2014 恰考网 Inc. 保留所有权利。 Powered by tikuer.com

页面耗时0.0347秒, 内存占用1.03 MB, Cache:redis,访问数据库17次