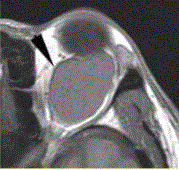
患者女,30岁,左眼球突出,运动障碍7个月。MRI平扫示左肌锥内等T信号影(下图)。增强扫描示均匀增强,眼肌、眼环正常。下述眼眶病变中,属于肌...

作者: rantiku 人气: - 评论: 0
问题 患者女,30岁,左眼球突出,运动障碍7个月。MRI平扫示左肌锥内等T信号影(下图)。增强扫描示均匀增强,眼肌、眼环正常。 下述眼眶病变中,属于肌锥外病变的是
选项 A.海绵状血管瘤 B.炎性假瘤 C.泪腺瘤 D.淋巴管瘤 E.血管畸形 F.眼眶疏松结缔组织炎
答案 C
解析 C

猜你喜欢

发表评论
更多 网友评论0 条评论)
暂无评论

Copyright © 2012-2014 恰考网 Inc. 保留所有权利。 Powered by tikuer.com

页面耗时0.0349秒, 内存占用1.03 MB, Cache:redis,访问数据库18次