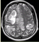
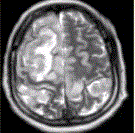
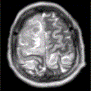
女性,产后癫痫、剧烈头痛1d,意识障碍3h。MRI显示如下图。为进一步明确诊诊断,下一步的检查方法首选A.MRVB.MR增强C.C...

作者: rantiku 人气: - 评论: 0
问题 女性,产后癫痫、剧烈头痛1d,意识障碍3h。MRI显示如下图。 为进一步明确诊诊断,下一步的检查方法首选
选项 A.MRV B.MR增强 C.CT D.CT增强 E.CT灌注 F.MRS
答案 A
解析 A

猜你喜欢

发表评论
更多 网友评论0 条评论)
暂无评论

Copyright © 2012-2014 恰考网 Inc. 保留所有权利。 Powered by tikuer.com

页面耗时0.0351秒, 内存占用1.03 MB, Cache:redis,访问数据库19次