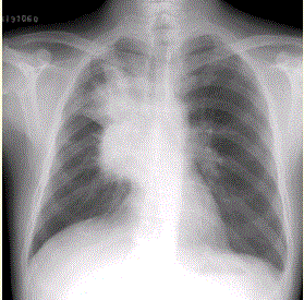
患者男,62岁,痰中带血丝2周,无发热,伴刺激性咳嗽。X线胸片如下图。应诊断为A.右上肺结核并肺门淋巴结增大B.肺动脉高压C.右肺中心型肺癌 ...

作者: rantiku 人气: - 评论: 0
问题 患者男,62岁,痰中带血丝2周,无发热,伴刺激性咳嗽。X线胸片如下图。应诊断为
选项 A.右上肺结核并肺门淋巴结增大 B.肺动脉高压 C.右肺中心型肺癌 D.右肺脓肿 E.升主动脉瘤
答案 C
解析

猜你喜欢

发表评论
更多 网友评论0 条评论)
暂无评论

Copyright © 2012-2014 恰考网 Inc. 保留所有权利。 Powered by tikuer.com

页面耗时0.0397秒, 内存占用1.03 MB, Cache:redis,访问数据库20次