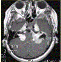
女性,15岁。MR表现如下图,可能的诊断是A.神经纤维瘤病I型B.神经纤维瘤病II型C.结节性硬化D.双侧听神经瘤E.颜面血管瘤综合征

作者: rantiku 人气: - 评论: 0
问题 女性,15岁。MR表现如下图,可能的诊断是
选项 A.神经纤维瘤病I型 B.神经纤维瘤病II型 C.结节性硬化 D.双侧听神经瘤 E.颜面血管瘤综合征
答案 B
解析

猜你喜欢

发表评论
更多 网友评论0 条评论)
暂无评论

Copyright © 2012-2014 恰考网 Inc. 保留所有权利。 Powered by tikuer.com

页面耗时0.0583秒, 内存占用1.03 MB, Cache:redis,访问数据库19次