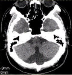
男性,40岁。走路不稳数年。CT表现如下图。可能的诊断为A.神经纤维瘤病I型B.Dandy-Walker综合征C.结节性硬化D.带状型灰质...

作者: rantiku 人气: - 评论: 0
问题 男性,40岁。走路不稳数年。CT表现如下图。可能的诊断为
选项 A.神经纤维瘤病I型 B.Dandy-Walker综合征 C.结节性硬化 D.带状型灰质异位 E.颜面血管瘤综合征
答案 B
解析

猜你喜欢

发表评论
更多 网友评论0 条评论)
暂无评论

Copyright © 2012-2014 恰考网 Inc. 保留所有权利。 Powered by tikuer.com

页面耗时0.0340秒, 内存占用1.03 MB, Cache:redis,访问数据库19次