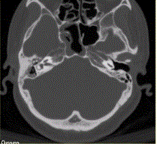
患者男,20岁,外伤后右耳听力下降伴面瘫7d。临床检查,右耳传导性耳聋,发现脑脊液耳瘘。CT表现如下图。对于颞骨骨折,最佳的影像学检查方法是A...

作者: rantiku 人气: - 评论: 0
问题 患者男,20岁,外伤后右耳听力下降伴面瘫7d。临床检查,右耳传导性耳聋,发现脑脊液耳瘘。CT表现如下图。 对于颞骨骨折,最佳的影像学检查方法是
选项 A.X线平片 B.常规CT C.MRI D.HRCT E.CT增强检查
答案 D
解析

猜你喜欢

发表评论
更多 网友评论0 条评论)
暂无评论

Copyright © 2012-2014 恰考网 Inc. 保留所有权利。 Powered by tikuer.com

页面耗时0.0387秒, 内存占用1.03 MB, Cache:redis,访问数据库19次