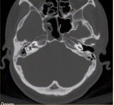
患者男,20岁,外伤后右耳听力下降伴面瘫7d。临床检查,右耳传导性耳聋,发现脑脊液耳瘘。CT表现如下图。颞骨骨折并发脑脊液耳瘘时应考虑合并A....

作者: rantiku 人气: - 评论: 0
问题 患者男,20岁,外伤后右耳听力下降伴面瘫7d。临床检查,右耳传导性耳聋,发现脑脊液耳瘘。CT表现如下图。 颞骨骨折并发脑脊液耳瘘时应考虑合并
选项 A.鼓室盖断裂、鼓膜撕裂 B.鼓室盖断裂、鼓膜完整 C.前庭导水管断裂、鼓膜撕裂 D.前庭导水管断裂、鼓膜完整 E.咽鼓管断裂
答案 A
解析

猜你喜欢

发表评论
更多 网友评论0 条评论)
暂无评论

Copyright © 2012-2014 恰考网 Inc. 保留所有权利。 Powered by tikuer.com

页面耗时0.0640秒, 内存占用1.03 MB, Cache:redis,访问数据库14次