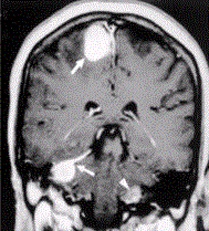
患者男,20岁,头痛、步态不稳。MRI显示如下图。关于神经纤维瘤病的影像学表现,正确的是A.Ⅰ型主要累及外周神经的丛状纤维瘤及视神经胶质瘤B....

作者: rantiku 人气: - 评论: 0
问题 患者男,20岁,头痛、步态不稳。MRI显示如下图。 关于神经纤维瘤病的影像学表现,正确的是
选项 A.Ⅰ型主要累及外周神经的丛状纤维瘤及视神经胶质瘤 B.Ⅱ型可见蝶骨大翼发育不良,眶上裂增宽等 C.皮肤caféanlait斑,腋窝、腹股沟雀斑常见于Ⅱ型 D.Ⅰ型常见多发脑神经鞘瘤、脑膜瘤及脊神经肿瘤 E.NF-2相关的神经鞘瘤较散发的增生活性高而且存在侵袭性
答案 A
解析

猜你喜欢

发表评论
更多 网友评论0 条评论)
暂无评论

Copyright © 2012-2014 恰考网 Inc. 保留所有权利。 Powered by tikuer.com

页面耗时0.0381秒, 内存占用1.03 MB, Cache:redis,访问数据库19次