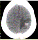
患者女,55岁,右侧肢体无力3d。头颅CT显示如下图。根据CT表现,可能的诊断为A.急性脑血肿B.转移瘤伴出血C.胶质瘤伴出血D.少枝...

作者: rantiku 人气: - 评论: 0
问题 患者女,55岁,右侧肢体无力3d。头颅CT显示如下图。 根据CT表现,可能的诊断为
选项 A.急性脑血肿 B.转移瘤伴出血 C.胶质瘤伴出血 D.少枝胶质细胞瘤伴出血 E.血液系统病变伴脑出血 F.脑脓肿 G.血管畸形伴出血
答案 ABCEG
解析 ABCEG

猜你喜欢

发表评论
更多 网友评论0 条评论)
暂无评论
错误啦!

错误信息

  • 消息: [程序异常] : MISCONF Redis is configured to save RDB snapshots, but it's currently unable to persist to disk. Commands that may modify the data set are disabled, because this instance is configured to report errors during writes if RDB snapshotting fails (stop-writes-on-bgsave-error option). Please check the Redis logs for details about the RDB error.
  • 文件: /twcms/kongphp/cache/cache_redis.class.php
  • 位置: 第 85 行
    <?php echo 'KongPHP, Road to Jane.'; ?>