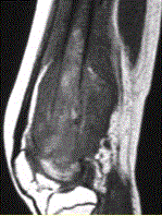
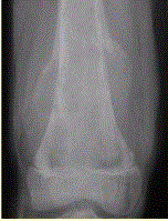
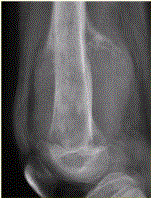
患者男,16岁,左大腿下部疼痛伴肿胀2个月,逐渐加重。自感左膝上方胀痛,尤以夜间为著,伴行走困难。既往史及家族史无特殊。查体:左大腿下部明显肿胀,皮温较对...

作者: rantiku 人气: - 评论: 0
问题 患者男,16岁,左大腿下部疼痛伴肿胀2个月,逐渐加重。自感左膝上方胀痛,尤以夜间为著,伴行走困难。既往史及家族史无特殊。查体:左大腿下部明显肿胀,皮温较对侧升高。碱性磷酸酶明显增高。股骨平片及MRI见下图。 关于此病变的定位,正确的是
选项 A.病变主体位于左股骨下端骨骺,累及干骺端 B.病变主体位于左股骨下端干骺端,累及骨骺 C.病变主体位于左股骨远侧骨端 D.病变主体位于左股骨下端周围软组织,骨质受累 E.病变主体位于骨髓质,皮质受累 F.病变主体位于骨皮质,髓质受累
答案 BE
解析 BE

猜你喜欢

发表评论
更多 网友评论0 条评论)
暂无评论

Copyright © 2012-2014 恰考网 Inc. 保留所有权利。 Powered by tikuer.com

页面耗时0.0462秒, 内存占用1.03 MB, Cache:redis,访问数据库19次