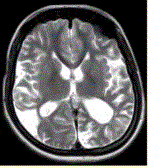
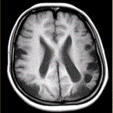
女性,22岁。癫痫发作及智力异常。MRI显示见下图。有关该病的描述,正确的是A.多种原因引起颅底大动脉严重狭窄或闭锁,并可见脑底部代偿性异常血...

作者: rantiku 人气: - 评论: 0
问题 女性,22岁。癫痫发作及智力异常。MRI显示见下图。 有关该病的描述,正确的是
选项 A.多种原因引起颅底大动脉严重狭窄或闭锁,并可见脑底部代偿性异常血管网 B.MRT2WI显示基底节区多发点状血管流空信号 C.DSA显示willis环闭塞,颅底区烟雾状侧支循环 D.CT显示低密度病灶,为缺血、梗死所致,特征是双侧性和多发性 E.影像学首选MRA及MRI F.主要发生在老年人 G.多见于颈内动脉床突上段和大脑前、中动脉近段和基底动脉远端
答案 ABCDEG
解析 ABCDEG

猜你喜欢

发表评论
更多 网友评论0 条评论)
暂无评论

Copyright © 2012-2014 恰考网 Inc. 保留所有权利。 Powered by tikuer.com

页面耗时0.0337秒, 内存占用1.03 MB, Cache:redis,访问数据库20次