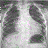
X线片(如图所示)考虑A.法洛氏四联征B.肺脓肿C.肺气肿D.肺癌E.肺炎

作者: rantiku 人气: - 评论: 0
问题 X线片(如图所示)考虑
选项 A.法洛氏四联征 B.肺脓肿 C.肺气肿 D.肺癌 E.肺炎
答案 A
解析

猜你喜欢

发表评论
更多 网友评论0 条评论)
暂无评论

Copyright © 2012-2014 恰考网 Inc. 保留所有权利。 Powered by tikuer.com

页面耗时0.0546秒, 内存占用1.03 MB, Cache:redis,访问数据库20次