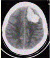
患者男,45岁,突发剧烈头痛伴呕吐30min。既往有高血压病史,平日血压为(190~160)/(100~110)mmHg。查体:右侧肢体肌力Ⅱ级,无颈项强...

作者: rantiku 人气: - 评论: 0
问题 患者男,45岁,突发剧烈头痛伴呕吐30min。既往有高血压病史,平日血压为(190~160)/(100~110)mmHg。查体:右侧肢体肌力Ⅱ级,无颈项强直。CT表现如下图。 请提出初步诊断
选项 A.急性脑梗死 B.急性脑血肿 C.蛛网膜下腔出血 D.脑星形细胞瘤 E.急性化脓性脑炎
答案 B
解析

猜你喜欢

发表评论
更多 网友评论0 条评论)
暂无评论

Copyright © 2012-2014 恰考网 Inc. 保留所有权利。 Powered by tikuer.com

页面耗时0.0354秒, 内存占用1.03 MB, Cache:redis,访问数据库17次