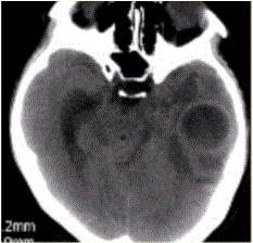
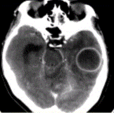
患者女,26岁,头痛、低热10d余,既往有左侧慢性中耳炎病史。CT表现如下图。初步诊断为A.脑脓肿B.胶质瘤C.脑血肿D.脑梗死 ...

作者: rantiku 人气: - 评论: 0
问题 患者女,26岁,头痛、低热10d余,既往有左侧慢性中耳炎病史。CT表现如下图。 初步诊断为
选项 A.脑脓肿 B.胶质瘤 C.脑血肿 D.脑梗死 E.脑囊虫
答案 A
解析

猜你喜欢

发表评论
更多 网友评论0 条评论)
暂无评论

Copyright © 2012-2014 恰考网 Inc. 保留所有权利。 Powered by tikuer.com

页面耗时0.0711秒, 内存占用1.03 MB, Cache:redis,访问数据库18次