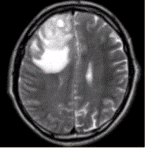
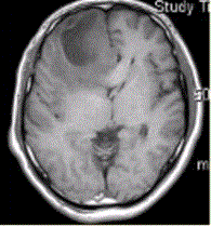
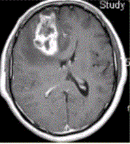
患者女,67岁,头痛伴呕吐1周。既往体健。MR表现如下图。临床拟诊为A.脑脓肿B.转移瘤C.成胶质胞瘤D.少枝胶质细胞瘤E.成髓细胞瘤

作者: rantiku 人气: - 评论: 0
问题 患者女,67岁,头痛伴呕吐1周。既往体健。MR表现如下图。 临床拟诊为
选项 A.脑脓肿 B.转移瘤 C.成胶质胞瘤 D.少枝胶质细胞瘤 E.成髓细胞瘤
答案 C
解析

猜你喜欢

发表评论
更多 网友评论0 条评论)
暂无评论

Copyright © 2012-2014 恰考网 Inc. 保留所有权利。 Powered by tikuer.com

页面耗时0.0403秒, 内存占用1.03 MB, Cache:redis,访问数据库20次