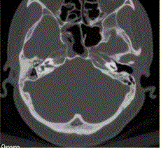
患者男,20岁,外伤后右耳听力下降伴面瘫7d。临床检查,右耳传导性耳聋,发现脑脊液耳瘘。CT表现如下图。临床拟诊为A.右侧颞骨骨折B.右侧...

作者: rantiku 人气: - 评论: 0
问题 患者男,20岁,外伤后右耳听力下降伴面瘫7d。临床检查,右耳传导性耳聋,发现脑脊液耳瘘。CT表现如下图。 临床拟诊为
选项 A.右侧颞骨骨折 B.右侧颞骨骨折,累及同侧外耳及面神经 C.右侧颞骨骨折,累及同侧中耳及面神经 D.右侧颞骨骨折,累及同侧内耳及面神经 E.右侧乳突骨折
答案 C
解析

猜你喜欢

发表评论
更多 网友评论0 条评论)
暂无评论

Copyright © 2012-2014 恰考网 Inc. 保留所有权利。 Powered by tikuer.com

页面耗时0.0340秒, 内存占用1.03 MB, Cache:redis,访问数据库19次