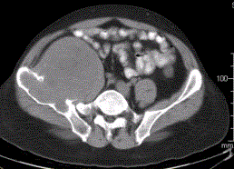
患者男,28岁,右下腹及臀部疼痛5个月余。查体:右髂骨外后侧压痛,右下腹可触及一软组织包块,质韧,固定。行骨盆正位CR、骨盆CT及MR扫描见下图。...

作者: rantiku 人气: - 评论: 0
问题 患者男,28岁,右下腹及臀部疼痛5个月余。查体:右髂骨外后侧压痛,右下腹可触及一软组织包块,质韧,固定。行骨盆正位CR、骨盆CT及MR扫描见下图。 此病变最可能的诊断是
选项 A.骨囊肿 B.动脉瘤样骨囊肿 C.骨结核 D.骨巨细胞瘤 E.硬韧带样纤维瘤
答案 B
解析

猜你喜欢

发表评论
更多 网友评论0 条评论)
暂无评论

Copyright © 2012-2014 恰考网 Inc. 保留所有权利。 Powered by tikuer.com

页面耗时0.0628秒, 内存占用1.03 MB, Cache:redis,访问数据库19次