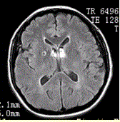
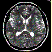
男性,55岁。临床偶尔头晕,无高血压,糖尿病病史。MRI显示如下图。可能的诊断是A.血管周围间隙B.腔隙性脑梗死C.神经上皮囊肿D.脑囊虫...

作者: rantiku 人气: - 评论: 0
问题 男性,55岁。临床偶尔头晕,无高血压,糖尿病病史。MRI显示如下图。 可能的诊断是
选项 A.血管周围间隙 B.腔隙性脑梗死 C.神经上皮囊肿 D.脑囊虫 E.囊性肿瘤
答案 A
解析

猜你喜欢

发表评论
更多 网友评论0 条评论)
暂无评论

Copyright © 2012-2014 恰考网 Inc. 保留所有权利。 Powered by tikuer.com

页面耗时0.0350秒, 内存占用1.03 MB, Cache:redis,访问数据库18次